

随着生活方式和作息规律的改变,腰痛已经成为现代人的一种常见病,不仅仅是老年人,越多越多的年轻人也出现了各种腰痛的症状。
腰痛的病因多种多样且复杂,而临床上常见的单纯腰痛由肌肉扭伤和拉伤、韧带损伤、椎间盘变性突出、外伤引起腰椎骨折、良恶性肿瘤、脊柱发育畸形、强直性脊柱炎等疾病,几乎都与腰椎及周围结构所致。
腰痛患者来到医院就诊,临床医生会通过详细的询问病史和仔细的体格检查,对病人疾病做出初步诊断,并根据不同情况选择不同的影像学检查方法-X线、CT或者MRI,找出腰痛的原因。
利器一:X线/DR
腰椎X线片作为最基础的影像检查手段,利于X线穿透人体组织后成像,以其快捷、直观、价格低廉的特点,X线检查主要包括腰椎正侧位、双斜位以及过伸过屈位。主要用于观察腰椎骨骼的情况,如椎体是否有骨折、骨质增生程度、生理曲度的变化、椎体移位的情况等。然而,X线检查也有它的局限性,无法判断是骨折的新旧,对于椎体内部结构和周围肌肉韧带组织(如脊髓神经、椎间盘、韧带等)的显示不佳,另外X线作为有辐射检查,孕妇及婴幼儿谨慎选择。
DR设备
箭头提示腰1椎骨折
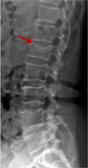
箭头提示腰3椎体滑脱
利器二:CT
CT利用X射线对人体检查部位通过电脑切成若干层扫描,然后把每层的图像都能显示出来。CT相对于X光片具有更高的密度分辨力,可直接显示X线片无法显示的病变,观察腰椎有无微小的骨折、骨质有无破坏等骨质情况、以及腰椎间盘突出、腰椎神经根、椎管、椎间小关节的情况等。同时还可以通过后处理,重建腰椎矢状位或冠状位图像,形成腰椎的3D图像,更直观地观察病变部位,对腰椎手术风险具有提示作用,对手术方式的选择具有指导意义,但是对神经、脊髓损伤程度的显示不如MRI,软组织的分辨率仍有一定限制,对椎管内病变显示欠佳,且有一定的辐射。
CT设备
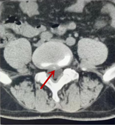
箭头提示椎间盘突出
从左向右依次为CT矢状位重建图像、三维重建图像、轴位扫描图像,箭头提示腰1椎体爆裂性骨折
利器三:MRI(核磁共振)
MRI利于磁场和射频脉冲使体内的氢原子核发生磁共振现象而产生的图像,对软组织的分辨率很高,对于脊髓、椎间盘、神经、血管、韧带、骨髓、腰部肌肉及周围软组织有很好的显示效果,可以清晰的显示腰椎间盘突出对硬膜囊、神经根压迫程度,以及骨折是陈旧还是新鲜,同时在脊髓病变(如脊髓损伤、髓内出血或肿瘤)、椎管内脓肿/血肿、椎旁肌肉软组织病变等方面也具有优势,但是检查时间较长,部分患者可能因体内金属植入物(如心脏起搏器、人工耳蜗等)而无法进行检查。
MRI设备
箭头提示腰椎管内肿瘤
红色箭头提示新鲜骨折,黄色箭头提示陈旧性骨折
综上所述,“三大利器”——X线、CT、MRI检查都是各有优势,相辅相成的,并没有一种检查可以适用于所有疾病的诊断和治疗。就诊时,医生会根据患者的症状和病史,选择一种或多种结合的检查手段,以达到准确诊断和治疗的目的。
放射科:王飞