欢迎来到泸州市中医医院
24小时应诊电话:0830-3103108
预约挂号电话:0830-3192516(接电话时间8:00-11:30,13:30-17:00)

国家三级甲等中医医院

国家重点中医医院建设单位

国家级胸痛中心、国家级心衰中心

国家中医药管理局中医住院医师规范化培训基地

国家中医药管理局中医全科医师规范化培训基地

5.27“我爱膝”特别企划 ——膝关节磁共振:为您的“人体轴承”做一次高清体检
来源:泸州市中医医院    发布时间:2025-06-20 09:41:29

 

 

引言:5.27,给膝盖一封“情书”

527日,是全国保膝日, 这一天不仅是数字的巧合,更是提醒我们关注人体最复杂轴承——膝关节的绝佳契机。膝关节是人体最大的关节之一,它默默承受体重、助力奔跑跳跃,却常因疼痛才被想起。而磁共振(MRI)就像一位“隐形侦探”,能透视关节内外的隐患。今天,让我们用科学告白:了解膝关节MRI检查的优势与适应症,给膝一份未雨绸缪的爱。     

        

一、 磁共振的“三大超能力”:为什么它是膝关节体检的最佳影像学检查技术 

 

         

 

超能力1:无创无辐射的“透视眼”  

Ø 对比CT/X线:无电离辐射,孕妇、儿童可安全使用  

Ø 独门绝技:软组织分辨率高,半月板、韧带、滑膜、软骨一览无遗  

超能力2:多维度“全息扫描”  

Ø 空间魔法:冠状位、矢状位、轴位多角度扫描,立体还原关节结构  

Ø 信号密码:T1T2、质子密度加权序列组合,区分水肿、出血、脂肪  

超能力3:动态追踪的“预言家”

Ø 增强扫描:静脉注射钆造影剂后,可评估滑膜炎症活跃度、肿瘤血供  

Ø 术后复查:精准判断韧带重建术后愈合情况,避免二次手术  

 

二、膝关节的“求救信号”:这些情况需要磁共振  

                     

1. “咯吱响”+“卡顿感”——半月板的“碎玻璃警报”

场景:下蹲时膝盖“咯噔”弹响,起身像被“卡住”  

MRI侦查:精准捕捉半月板撕裂或变性(半月板内高信号),避免拖成“关节

       

(半月板撕裂)

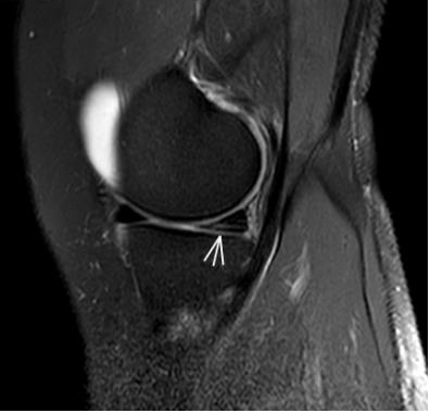
2. 运动后“打软腿”——韧带的“断弦危机”

场景:打球急停后膝盖不稳,走路像“踩棉花”  

MRI侦查:揪出前交叉韧带断裂“波浪状”或连续性中断)、内侧副韧带损伤,防止关节“脱轨”

      

内侧副韧带损伤)

3. 上下楼“针刺痛”——软骨的“磨砂纸预警”

场景:爬楼梯时膝盖刺痛,久坐后僵硬如“生锈齿轮”  

MRI侦查:发现软骨变薄、缺损(早期骨关节炎信号),赶在“路面塌方”前修复

    

软骨损伤)

 4. 不明肿胀+发热——滑膜的“洪水警报” 

场景:膝盖肿成“发面馒头”,皮肤发烫如“小火炉”  

MRI侦查:鉴别痛风性滑膜炎、感染或类风湿病变阻止“炎症风暴”  

       

滑膜增厚、积液)

 5. 夜间持续性钝痛——骨骼的“暗夜低语”

场景无外伤却夜间痛醒,膝盖仿佛“压着巨石”  

  MRI侦查:筛查骨肿瘤、骨髓水肿(X线看不见的“内伤”),警惕“沉默杀手”

        

骨髓水肿)

 

三、5.27“爱膝行动指南”

 

行动1:自测你的“膝盖年龄”      

✅ 单腿下蹲是否弹响?  

✅ 按压膝盖是否有固定痛点?  

✅ 晨起僵硬是否超过15分钟?  

膝盖外观是否有肿胀、变形等异常?

2项以上“是”,建议咨询骨科医生)  

             

 

行动2MRI检查“绿色通道”

高危人群:运动爱好者、肥胖者、50岁以上中老年  

最佳频率:无症状者每2~3年筛查,有损伤史者遵医嘱  

 

行动3:给膝盖“爱的关怀”  

  控制体重体重越大者,膝关节承受的压力越大

良好习惯:避免久坐、久站,减少跷二郎腿、盘坐的不良姿势,尽量少爬楼梯和采用蹲跪姿势  

科学运动:运动需适度,运动前适当热身,游泳、骑自行车散步对膝盖伤害相对较小                  

合理饮食多食用诸如牛奶、豆制品等含钙和蛋白质较高的食物,预防骨质疏松,增强膝关节力量

注意保暖:避免冷风直吹,防止膝关节受寒

          

 

结语:爱膝,从“看见”开始  

5.27“我爱膝”不仅是日期,更是对健康的承诺。膝关节MRI就像一封写给身体的情书——它用磁场波代替X光,用高清影像消除猜疑,用早期干预避免遗憾。今天,让我们向膝盖许下承诺“我愿倾听你的无声呼唤,用科技之光守护你的每一次弯曲与伸展。”  

 

#5.27我爱膝# 特别倡议——  

转发本文,提醒身边人:膝盖疼痛不是岁月的必然馈赠,磁共振检查让隐患无所遁形!

 

部分图片来源于网络

                                                    放射科  许珊